Digital Dental Implant System
WE SHIP ACROSS USA
At Get Implant, we provide top-quality dental implants and dentures built to last. We know how important quality is for both patients and dental professionals. That's why our products meet the highest standards. Created by clinicians, for clinicians, we work closely with experts to customize solutions for each patient. As your trusted implant provider in Houston, we're proud to make a real difference in patient care.
Our Products

Implant System
Our dental implant company is based in Houston, and you can order custom, top-of-the-line supplies. Your patients will thank you once you trust our durable products!

W&H
Choose the right W&H Implantmed SI-1015 Set for your needs.
- Set 1 - Implantmed Plus SI-1015 Unit With Wired S-N2 Foot Control & 1.8m Length EM-19 Motor
- Set 3 - Implantmed Plus SI-1015 Unit With Wireless S-NW Foot Control & 1.8m Length EM-19 Motor
- Set 5 - Implantmed Plus SI-1015 Unit With Wired S-N2 Foot Control & 1.8m Length EM-19 LC (Light Contact) Motor
- Set 7 - Implantmed Plus SI-1015 Unit With Wireless S-NW Foot Control & 1.8m Length EM-19 LC (Light Contact) Motor
- Set 9 - Implantmed Plus SI-1015 With Wireless S-NW Foot Control & 3.5m Length EM-19 LC (Light Contact) Motor

Good Fit Denture System
Good Fit ® Denture Systems provides innovative solutions that will help dental professionals save time. You can carry out the procedure that takes weeks in around an hour or two.

CAD/CAM
With our help, dental offices can provide their patients with lasting solutions. Our CAM/CAD products are designed to ease restorative dental treatments.
Fastest Delivery Guaranteed
Ask about our same day delivery, see if you qualify?
Empowering You With Premium Restorative Solutions
Upcoming Courses
Explore our upcoming courses tailored for a comprehensive dental education. Taught by respected local implant experts, invite your team for a more impactful learning experience.
All-in-One Dental Implant Courses Nationwide
Find Out MoreReviews
What Our Participants Say
It was a really great course about the implant learning; from theory and practical to restorative part and everything. It was a GREAT EXPERIENCE. It’s one on one kind of teaching over here, so you can get a great idea about the implant which you can use it in your dental practice and start placing the implant. I am so confident i can start placing implants right from tomorrow!
Dr. Chetan
I would highly recommend this course to everyone! Dr. Iyer and Dr. Rathi, they are the great mentors. They have lot of knowledge and you can not go wrong selecting this course and you would learn alot. From the beginner to someone who is already placing the implant, i would recommend this course to everyone.
Dr. Nithi
Doctors Testimonials
Case Studies
Real Patient - Real Results

Multi Unit Abutment for Partial Arch Replacement

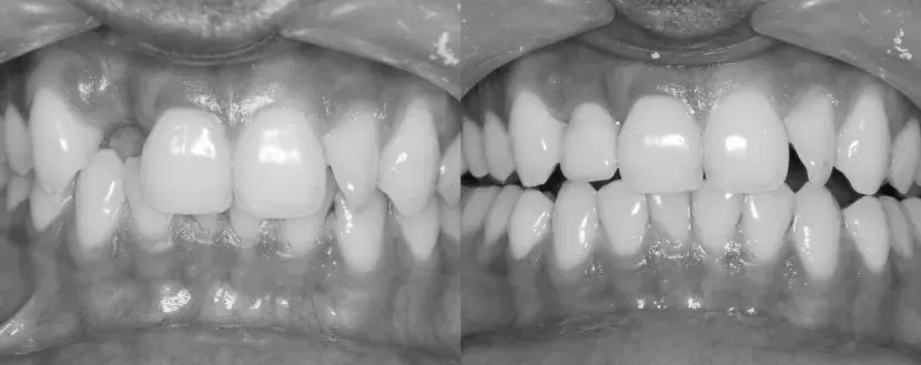
Single Implant Case: Missing Lateral Incisor
Community Involvement
Events & Conferences
Top Quality
Our facility is fully in compliance with ISO 13485:2016. We undergo a full inspection on a regular basis to ensure that we meet the requirements by ISO 13485 & CFR 820(QMS) Standards. Rest assured that our dental implants have FDA510(k) clearance No. K103280 as well.
Surface Treatments
We incorporate cutting-edge technology to create macro, micro, and nano surface structures, which enlarges the bone-to-implant contact or BIC. Our surface treatments include sandblasting, acid etching, and extensive cleansing of the fixed implants. As your trusted dental implant company, we provide promising supplies in Houston, TX.
Exceptional Work Ethic
We are here to guide you in regard to any issues you may have. Our technical support is always here to help, whether you send an email or call us at our office. You can get assistance from our support representative!